Implantologie
Implantant: Eine kleine Schraube – große Wirkung!
Geht trotz aller Bemühungen ein Zahn verloren, könnte ein Implantat mit Krone die Lücke füllen. Implantate sind künstliche Zahnwurzeln aus Titan oder Zirkondioxid (Keramik-Implantate), welche operativ in den Knochen eingeschraubt werden.
Voraussetzung für eine Implantation
Zunächst entscheiden Zahnärzte, ob eine Implantation möglich ist. Dazu müssen folgende Punkte abgeklärt werden: etwaige Grunderkrankungen, Knochenangebot bzw. Formung des Implantatbettes, Mundhygiene und parodontale Situation.
Mithilfe einer digitalen Röntgenaufnahme (ggf. auch mithilfe der 3D-Diagnostik durch ein DVT) wird der Knochen vermessen. Größe und Lage des Implantats werden ermittelt und der konkrete oralchirurgische Behandlungsablauf festgelegt. Sollte das Knochenangebot nicht ausreichen, muss zunächst ein dementsprechender Aufbau stattfinden (Augmentation). Verschiedene Verfahren wie Sinuslift, Bone-Splitting oder Bone-Spreading und Eigenknochenentnahme ermöglichen die Maximierung des Knochenangebots. Diese Eingriffe finden – je nach Situation – gleichzeitig (simultan) oder zeitversetzt statt.
Die Implantation
Der operative Eingriff erfolgt in der Regel ambulant unter Lokalanästhesie in unseren Praxisräumen.
Nach einer Einheilzeit von 3-6 Monaten können die Implantate als Verankerung von Kronen, Brücken oder komplexeren Prothesen genutzt werden.
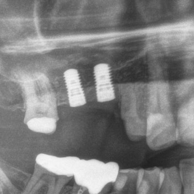
Sinuslift mit Eigenknochen und späterer Implantation

Fehlende Zähne 15,16

Implantation & Sinuslift (Aufbau des Kieferknochens in der Kieferhöhle)

Implantatgetragene Kronen
Vorteile eines Implantats
Implantate können ästhetisch und funktionell den natürlichen Zahn gut ersetzen und stellen so eine nachhaltige Alternative zu Brücken oder herausnehmbarer Prothetik dar.
Ersetzt man beispielsweise einen verlorenen Zahn durch eine Implantatkrone, so wird das Beschleifen gesunder Nachbarzähne für eine Brückenkonstruktion vermieden und die Reinigungsmöglichkeit mit Zahnseide bleibt erhalten.