Endodontologie
Wurzelbehandlung: Dem Zahn auf den Nerv gefühlt
Im Rahmen der Zahnerhaltung stellt die Wurzelkanalbehandlung (Endodontie) einen wichtigen Behandlungsschwerpunkt unserer Praxis in Hamburg Eppendorf dar. Oft ist die endodontische Behandlung die einzige Alternative zur Zahnentfernung (Extraktion).
Die Wurzelbehandlung
Der Ablauf einer Wurzelbehandlung
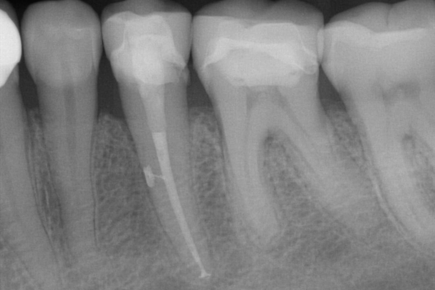
Bei der Wurzelkanalbehandlung wird der Zahn geöffnet (trepaniert) und die mikroskopisch kleinen Wurzelkanäle von erkranktem, infiziertem oder totem (devitalem) Weichgewebe befreit. Zudem gesäubert, desinfiziert und ggf. medikamentös versorgt. Eine endometrische Messung sorgt für eine exakte Bestimmung der Aufbereitungslänge und erspart eine Röntgenaufnahme. Ist der Zahn bakterien- und symptomfrei können die Wurzelkanäle des endodontisch aufbereiteten Zahnes gefüllt bzw. versiegelt werden. So wird einer erneuten Entzündung des wurzelspitzennahen Knochens vorgebeugt. Abschließend muss der Zahn adhäsiv verschlossen werden. Dies ist besonders wichtig, um eine Reinfektion zu verhindern. Darüber hinaus dient die Adhäsiv-Klebetechnik der Stabilisierung des Zahnes. Häufig ist auch eine spätere Überkronung notwendig, um die Gefahr einer komplizierten Fraktur zu verhindern.

Eine moderne Wurzelkanalbehandlung ermöglichst sogar die Füllung von Seitenkanälen.
Die Revision einer Wurzelbehandlung
Die Revision ist besonders aufwendig, da hier zunächst eine alte Wurzelfüllung entfernt werden muss. Notwendig ist eine solche Behandlung, wenn der Zahn – trotz einer bestehenden Wurzelfüllung – Entzündungszeichen aufweist (Klopf- / Aufbissempfindlichkeit, Schwellung, Fistelgang, Abszesse) oder eine chronische Entzündung (ohne Schmerzen) auf dem Röntgenbild zeigt. In allen Fällen liegt hier eine bakterielle Infektion des Knochens vor, hervorgerufen durch eine insuffiziente Wurzelfüllung (undicht, Wurzelkanal nicht gefüllt, verbliebenes totes Gewebe, etc.).
Nach Entfernung des infizierten Füllmaterials wird wie oben beschrieben weiter verfahren.